
「虫歯治療で被せ物をすることになったけど銀歯は目立つし寿命が不安」
「でも自費診療の被せ物は高い」
「被せ物の種類がありすぎて分からない何を基準に選べばいいか分からない」
虫歯治療で被せ物が必要な方のなかには上記のようなお悩みお持ちの方も多いのではないでしょうか?
高いお金を払ってもすぐにやり直しになったり、逆に安さで選んで健康を損なったりしては、将来的な後悔につながります。納得のいく選択をするためには、自分自身が各素材のメリット・デメリットを正しく理解し、判断基準を持つことが大切です。
本記事では、虫歯治療で使われる被せ物の種類の特徴や、費用相場・耐久年数を解説します。
虫歯治療の被せ物を長持ちさせるポイントや、被せ物が欠けたり外れたりした際の対応もご紹介しているため、ぜひ最後までご覧ください。
虫歯治療の被せ物の種類
虫歯治療で使用される被せ物には、大きく分けて保険診療と全額自己負担となる自費診療の2つの枠組みがあります。ここでは保険診療と自費診療で用いられる被せ物の種類をご紹介します。
保険診療の被せ物
保険診療で用いられる被せ物の種類は、以下の3つです。
-
-
コンポジットレジン
-
CAD/CAM冠
-
銀歯
-
- ひとつずつ見ていきましょう。
コンポジットレジン
コンポジットレジンは、歯科用のプラスチックを詰めたり盛り付けたりして固める治療法です。小さな虫歯の場合、歯を削る量を最小限に抑えつつ、その日のうちに白く修復できます。ただし、プラスチック素材のため強度はそれほど高くなく、時間が経つと変色したり摩耗したりしやすいです。
コンポジットレジンは大きな範囲の被せ物には向きませんが、前歯の小さな欠けや軽い虫歯の修復によく使われます。
CAD/CAM冠
CAD/CAM冠は、プラスチックとセラミックを混ぜ合わせたブロックをコンピュータで削り出して作る白い被せ物です。CAD/CAM冠の登場により、以前は銀歯しか選べなかった奥歯を保険診療で白い歯にできるようになりました。
CAD/CAM冠は銀歯に比べて目立ちにくく、金属アレルギーの心配もありません。しかし、オールセラミックほどの透明感はなく、強い衝撃で割れる場合も。
CAD/CAM冠を適用できる歯には条件があるため、歯科医師への確認が必要です。
関連記事:CAD/CAM冠のデメリットは?CAD/CAM冠で後悔しないための注意点も解説
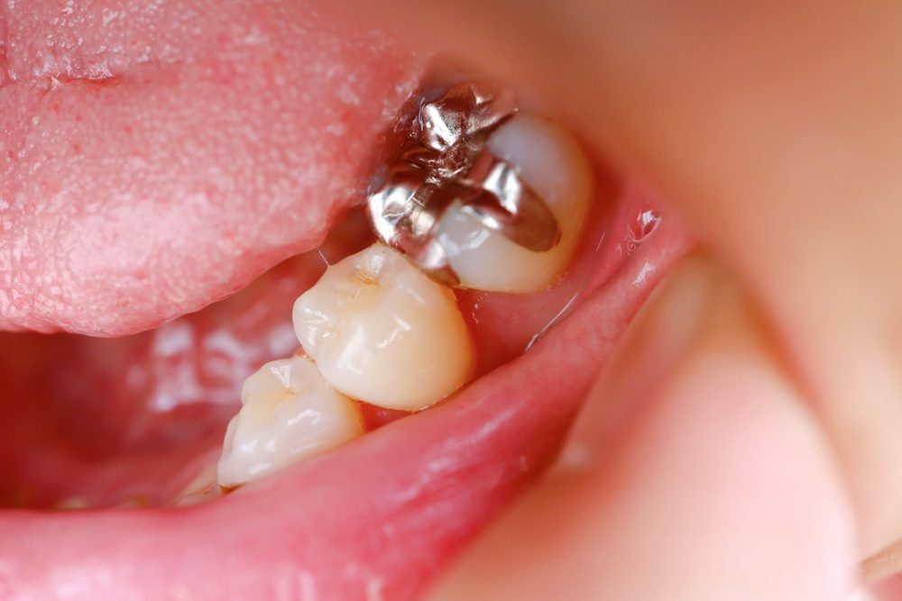
銀歯
銀歯は、金銀パラジウム合金という金属で作られた被せ物です。強度が高いため、強い力で噛みしめる奥歯に使用しても壊れにくいのが特徴です。一方で、お口のなかで金属が目立ちやすい点や、経年劣化で金属が溶け出して歯茎が黒ずむリスクがあります。
銀歯は安価で丈夫ですが、見た目やアレルギーを気にする方には慎重な判断が求められる素材です。
関連記事:銀歯のデメリットとは?銀歯を白くするための代替法まで紹介
自費診療の被せ物
自費診療で用いられる被せ物の種類は、以下の3つです。
-
-
オールセラミック
- ジルコニア
- ゴールド
- 自費のCAD/CAM
-
- ひとつずつご紹介します。
オールセラミック
オールセラミックは、陶器と同じ成分で作られたセラミック素材の被せ物です。天然の歯と見分けがつかないほど透明感があり、時間が経過してもほとんど変色しないのが特徴です。表面がツルツルしているため、汚れの原因となるプラークがつきにくく、金属を一切使用していないため、アレルギーの心配もありません。
オールセラミックは、審美性をとくに重視したい前歯の治療におすすめな被せ物です。
ジルコニア
ジルコニアは人工ダイヤモンドとも呼ばれるほど、強度と美しさを兼ね備えた被せ物です。セラミックよりも強度があるため、強い力がかかる奥歯やブリッジの治療にも適しています。セラミックと同様に見た目も白く自然で、お口のなかを清潔に保ちやすいのもジルコニアの魅力です。
丈夫さと美しさを両立させたい方にとって、ジルコニアはおすすめの選択肢といえます。
ゴールド
ゴールドは、金合金で作られた被せ物で、歯科治療において歯に馴染みやすい被せ物です。貴金属特有の柔らかさがあるため、噛み合わせの相手の歯を傷めにくく、使っているうちに自分の歯にぴったり適合していきます。適合性が高いゴールドは、、被せ物の隙間から虫歯になる二次カリエスの予防に効果的です。
見た目は金色で目立ちますが、奥歯の機能性や長寿命を最優先にしたい方におすすめの被せ物といえます。
自費のCAD/CAM冠
自費のCAD/CAMとは、コンピュータを使って精度の高い被せ物を設計から製作まで一貫しておこなう技術です。保険適用のものよりも高品質なセラミックブロックを削り出せるため、より丈夫で美しい仕上がりになります。
型取りをカメラのスキャンでおこなうため、粘土のような材料を口に入れるのが苦手な人にもおすすめです。
【早見表】被せ物の費用相場・寿命
以下は、上記で紹介した被せ物の費用相場と寿命(耐久性)をまとめた表です。
| 被せ物の種類 | 費用相場(歯1本あたり) | 寿命 | |
|---|---|---|---|
| 保険診療 | コンポジットレジン | 約1,500~4,000円 | 約3~5年 |
| CAD/CAM冠 | 約6,000~9,000円 | 約5~7年 | |
| 銀歯 | 約3,500〜6,000円 | 約5~10年 | |
| 自由診療 | オールセラミック | 約33,000~180,000円 | 約10~15年 |
| オールジルコニア | 約100,000~200,000円 | 約15年以上 | |
| ゴールド | 約80,000~180,000円 | 約15~20年以上 |
歯科医院によって取り扱っている被せ物の種類や費用は異なります。詳細は各歯科医院へお問い合わせください。
関連記事:CAD/CAM冠の耐用年数はどれくらい?長持ちさせるポイントまで解説
虫歯治療の被せ物を選ぶときのポイント

納得できる被せ物を選ぶには、優先順位を明確にするのが大切です。ご自身のライフスタイルに合わせて、見た目や寿命、予算のバランスを慎重に検討しましょう。
ここでは虫歯治療の被せ物を選ぶときのポイントをご紹介します。
見た目を重視する場合
周囲の歯となじむ自然な美しさを求める場合、セラミックやジルコニアがおすすめです。
セラミックやジルコニアは天然の歯に近い透明感を再現できるため、口を大きく開けても治療の跡がほとんど目立ちません。また、保険診療のプラスチック素材と異なり、時間が経っても変色しにくいのがセラミックやジルコニアの魅力です。
接客業や営業職などの人前で話す機会が多い方、見た目を重視したい方には、セラミックやジルコニアが向いています。
耐久性を重視する場合
耐久性を最優先に考える場合、ジルコニアやゴールドを選択するのがおすすめです。
ジルコニアは人工ダイヤモンドと呼ばれるほど硬く、強い力がかかる奥歯の噛み合わせにも適用できます。一方のゴールドは、適度な柔らかさで自分の歯にフィットしやすく、歯が割れるリスクを抑えられるのが特徴です。
一度の治療を長持ちさせ、将来的に再治療をおこなう回数を減らしたい場合は、ジルコニアやゴールドを検討してみましょう。
関連記事:奥歯の被せ物はなにがおすすめ?被せ物の種類や選ぶ際のポイントを紹介
コストパフォーマンスを重視する場合
初期費用を抑えたいときは保険診療の素材を選び、長期的な節約を狙う場合は自費のセラミックがおすすめです。
保険診療のコンポジットレジンや銀歯は数千円で治療ができるため、目先の出費を最小限に抑えられます。しかし、変色や二次虫歯のリスクがあるため、数年でやり直すとトータルコストが高くなる場合も。
将来的な通院の手間や追加の治療費をカットし、長期的なコストを抑えるために、自費診療の被せ物を検討するのもひとつの手です。
関連記事:CAD/CAM冠と銀歯はどっちがいい?メリット・デメリットと違いを解説
金属アレルギーへの懸念がある場合
金属アレルギーが心配な方は、メタルフリー素材であるセラミックや樹脂を選んでください。金属素材は、長い年月をかけて溶け出すと、お肌の荒れや体調不良を引き起こす原因になる場合があります。
セラミックやジルコニアなどのノンメタル素材は、体への親和性が高く、歯茎が黒ずむ心配もありません。とくに敏感肌の方や健康志向が強い方は、金属を使わない選択もおすすめです。
関連記事:歯の被せ物と詰め物はどれがいい?種類や選ぶ際のポイントまで紹介
虫歯治療で被せ物している際の注意点
被せ物を長持ちさせるためには、日々の生活習慣を見直すのが重要です。ここでは、今日から実践できる具体的な3つの注意点を解説します。
-
-
粘着性が高い・硬い食べ物は控える
- 丁寧なセルフケアを心がける
- 歯ぎしりや食いしばり対策でマウスピースを装着する
-
- ひとつずつ見ていきましょう。
粘着性が高い・硬い食べ物は控える
被せ物をしているときは、キャラメルやガムなどの粘着性が高いものや、氷のような硬い食べ物を避けるのが基本です。粘り気が強い食べ物は被せ物を引っ張り、接着剤が剥がれる原因になります。また、硬すぎるものは被せ物自体に強い衝撃を与え、欠けたり割れたりするリスクがあります。
とくにセラミック素材は衝撃に弱い面があるため、食事の際は、食材を小さく切る、煮るなどして工夫しましょう。
丁寧なセルフケアを心がける
被せ物と自分の歯の隙間に汚れがたまらないよう、毎日のセルフケアを念入りにおこなうのが重要です。被せ物自体は虫歯になりませんが、土台となる自分の歯との境目は汚れが残りやすく、二次虫歯になる危険があります。
普通の歯ブラシだけでなく、デンタルフロスや歯間ブラシを併用して汚れを落としましょう。歯ブラシが届きにくい裏側まで意識して磨くのがポイントです。
歯ぎしりや食いしばり対策でマウスピースを装着する
睡眠中の歯ぎしりや日中の食いしばりから被せもや歯を守るために、マウスピースの装着がおすすめです。寝ている間にかかる力は自分の体重の数倍にもおよぶため、無意識のうちに被せ物に過酷なダメージを与えています。
マウスピースをおこなうと、被せ物の磨り減りや脱落を効果的に防げます。とくにストレスを感じやすい方は、知らないうちに食いしばっている場合があるため、歯科医院で自分専用の型を作成してもらい、大切な歯を守りましょう。
被せ物が欠けたり外れたりした際の対応
被せ物にトラブルが起きたときは、すぐにかかりつけの歯科医院へ連絡して適切な処置を受けるのがポイントです。ここでは万が一に被せ物が欠けたり外れたりした際の対応をご紹介します。
-
-
そのままの状態にしておく
-
外れた被せ物は捨てずに保管して持参する
-
冷たい飲み物や硬い食べ物を避ける
- 数日以内に歯科医院の予約を取る
-
- ひとつずつ見ていきましょう。
そのままの状態にしておく
被せ物が外れた部分は、自分で無理にいじらずにそのままの状態を維持してください。鏡で見ると気になりますが、指や舌で触れすぎると残っている歯を傷つけるリスクがあります。
とくに接着剤を使って自分で付け直そうとする行為は、絶対に避けるべきNG行動です。市販の接着剤は歯科用とは成分が異なり、歯の神経にダメージを与えたり、再治療の邪魔になったりします。清潔に保つことを意識しつつ、歯科医師の診察を静かに待ちましょう。
外れた被せ物は捨てずに保管して持参する
外れた被せ物は、捨てたり放置したりせずに必ず歯科医院へ持参してください。被せ物自体に大きな破損がなく、土台となる歯の状態も良い場合、そのまま付け直せる場合があります。再利用ができると、新しく作り直す費用や時間の節約につながります。
外れた被せ物を保管する際は、ティッシュに包むと間違えて捨てるリスクがあるため、小さな容器やジップ付きの袋に入れるのがおすすめです。変形させないよう、大切に保管しましょう。
冷たい飲み物や硬い食べ物を避ける
被せ物が取れたあとの歯は刺激に弱いため、極端に冷たいものや硬い食べ物は避けるようにしましょう。被せ物の下にあった象牙質という部分は神経に近いため、温度変化に敏感です。冷水や熱いスープを飲むと、激しい痛みを感じる場合があります。
また、保護を失った歯は強度が落ちているため、硬いものを噛むと歯そのものが割れる危険性もあります。食事の際は反対側の歯を使い、できるだけ柔らかいメニューを選んでおこなってください。
数日以内に歯科医院の予約を取る
痛みがない場合でも、トラブル発生から数日以内には歯科医院の予約を取っておこなってください。時間が経つと、隣の歯が寄ってきたり、噛み合っていた歯が伸びてきたりして、お口全体のバランスが崩れるリスクがあります。わずかな隙間の変化であっても、もとの被せ物が戻らなくなる原因になりかねません。
とくに土台の歯が虫歯になっている場合は、一刻も早い治療が歯の寿命を左右します。後悔しないために、優先して通院のスケジュールを調整しましょう。
虫歯治療の被せ物を長持ちさせるポイント

被せ物を長く使い続けるには、日々の丁寧なセルフケアとプロによる定期的なチェックを両立させるのが重要です。ここでは虫歯治療の被せ物を長持ちさせる4つのポイントを解説します。
-
-
デンタルフロスや歯間ブラシを活用する
- 定期検診を受けて噛み合わせや適合状態を確認する
- 就寝時はナイトガードを装着する
- フッ素濃度が高い歯磨き粉や洗口液を使用する
-
- ひとつずつ見ていきましょう。
デンタルフロスや歯間ブラシを活用する
歯ブラシが届かない隙間の汚れを落とすために、デンタルフロスや歯間ブラシを併用してください。歯ブラシだけではお口全体の汚れの6割程度しか落とせないといわれており、被せ物の周りに食べかすが残ると、そこから細菌が増殖して歯茎の腫れや二次的な虫歯を引き起こします。
毎日1回は補助清掃用具を使い、隙間のプラークをしっかり除去する習慣を身につけましょう。
定期検診を受けて噛み合わせや適合状態を確認する
歯科医院での定期検診を受けると、被せ物のわずかなズレや噛み合わせの変化にいち早く気付けます。お口の状態は時間の経過とともに変化するため、知らないうちに特定の歯へ強い力がかかっていることも。
噛み合わせの変化を放置すると、被せ物が割れたり外れたりする原因になるだけでなく、土台の歯にヒビが入るリスクも高まります。約3~6カ月に1度は歯科医師に確認してもらい、必要に応じた微調整をしてもらいましょう。
就寝時はナイトガードを装着する
寝ている間の歯ぎしりや食いしばりから被せ物や歯を守るには、ナイトガードの装着が効果的です。睡眠中の食いしばりは自分の体重の数倍もの力がかかるとされており、被せ物が破損する要因となります。
ナイトガードを使うと歯ぎしりや食いしばりの衝撃を分散できるため、被せ物への負担を減らせます。大切な治療箇所を物理的な衝撃から守るためにも、就寝時の装着をおこないましょう。
フッ素濃度が高い歯磨き粉や洗口液を使用する
高濃度のフッ素が含まれたケア用品を使用するのも、被せ物を守るのにおすすめの習慣です。フッ素には歯の再石灰化を助け、酸に溶けにくい強い歯質をつくる働きがあり、虫歯を予防するのに効果的です。
被せ物の下が虫歯になると、外からは見えにくいため発見が遅れて重症化する傾向があります。市販されている1450ppm程度の高濃度フッ素配合歯磨き粉を選び、日々のケアで歯のバリア機能を高めましょう。
まとめ
虫歯の被せ物には、保険診療の安価なものから、自費診療の高機能なものまでさまざまな種類があります。銀歯は低価格ですがリスクがあり、セラミックやジルコニアは高価ですが健康と美しさを守れる被せ物です。それぞれの特徴をもとに、自分のライフスタイルや希望に合った素材を選びましょう。
中葛西歯科では、保険診療から自費診療まで幅広い素材を取り揃えています。「銀歯の寿命が心配」「自分に最適な素材をじっくり相談したい」という方は、ぜひ当院へお越しください。



























