
一度治療が終わったはずの場所がまた虫歯になり、「もっと良い素材を選んでいれば防げたのではないか」「次はもう失敗したくない」と、治療への後悔や再治療への不安を抱えていませんか?
詰め物の下が再び虫歯になる二次カリエスを防ぐためには、単に削って埋めるだけでなく、なぜ再発したのかという原因を知り、自分の歯に馴染む素材を選ぶことが大切です。
本記事では、詰め物の下で虫歯が再発する原因や放置するリスクに加え、保険診療と自由診療それぞれの素材が持つ再発しにくさや耐久性を解説します。
詰め物の下で虫歯になる「二次カリエス」とは?
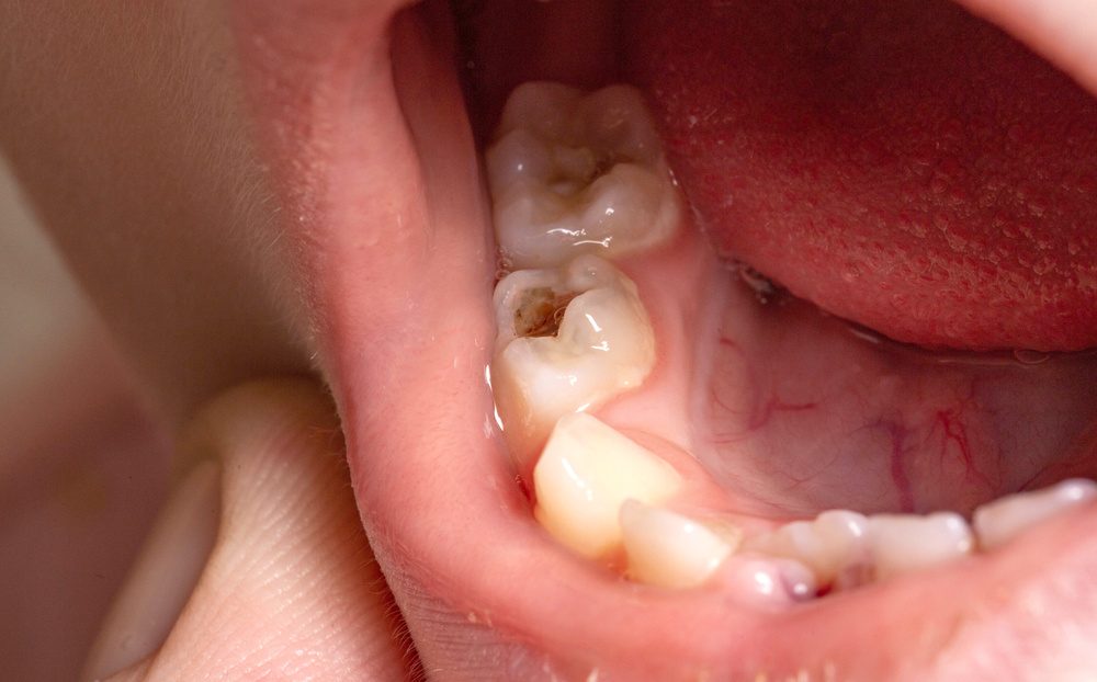
二次カリエスとは、過去に虫歯治療をおこなって詰め物をした場所が、再び虫歯になる現象です。一度削った歯は天然の歯よりも弱くなっており、詰め物との間にわずかな隙間ができると細菌が入り込んで虫歯になります。
治療したからといって安心していると、気づかないうちに内部で病状が悪化する場合もあるため注意が必要です。
詰め物の下の虫歯は気づきにくい
詰め物の下で発生する虫歯は、見た目では変化が分かりにくく、痛みの自覚症状が出にくいのが特徴です。人工物の内側で進行するため、鏡で見ても色の変化に気づくのが困難で、かなり悪化してから痛みが出る傾向にあります。詰め物がポロッと取れたときには、すでに神経まで虫歯が到達している場合も珍しくありません。
定期的に歯科医院でレントゲン検査を受けることが、二次カリエスを早期発見するのに効果的な方法です。
詰め物の下で虫歯が再発する原因
治療したはずの場所が再び虫歯になるのは、目に見えない小さな隙間から菌が入り込むのがきっかけです。ここでは詰め物の下で虫歯が再発する原因を解説します。
-
- 詰め物と歯の間に隙間がある
- 長期間の使用で接着剤が劣化した
- 詰め物が噛む力によって変形した
- プラークコントロールができていない
- ひとつずつ見ていきましょう。
詰め物と歯の間に隙間がある
詰め物と歯の間にわずかな隙間があると、そこが細菌の入り口になり、二次カリエスを引き起こす原因になります。製作した詰め物の精度が低かったり、歯の削りかたが不十分だったりすると、詰め物と歯がしっかり密着しません。とくに保険診療で使われる素材は、自由診療の素材に比べて適合性に限界があります。
隙間に溜まった食べカスは歯ブラシでは取り除けないため、知らないうちに内部で虫歯が進行してしまうのです。
長期間の使用で接着剤が劣化した
詰め物を固定している歯科用セメントが経年劣化で溶け出すと、虫歯の原因菌が侵入しやすくなります。接着剤は数年が経過すると強度が落ち、セメントが流れ出た部分は空洞になり、そこが菌の住処へと変わり、二次カリエスを発生させます。
外見に変化がなくても、内部で接着力が失われている場合があるため、定期的な歯科検診でのチェックが欠かせません。
詰め物が噛む力によって変形した
強い噛み合わせや歯ぎしりの衝撃で詰め物が変形すると、歯との密着状態が保てなくなります。たとえば保険診療の銀歯は、長年の使用で少しずつ歪んだり摩耗したりするため、金属が伸びて隙間ができると、そこから細菌を含んだ唾液が入り込み、二次虫歯を発生させます。
とくに奥歯や強い負荷がかかる部位では、素材の変形が再発の要因になるのを覚えておいてください。
プラークコントロールができていない
お口のなかを清潔に保つプラークコントロールが不十分だと、詰め物の周囲から虫歯が再発します。詰め物をした場所は天然の歯よりも段差ができやすく、汚れが溜まりやすいです。磨き残しがあると段差部分に細菌が定着し、詰め物の縁から歯の内部へと菌が繁殖します。
どれほど良い素材を選んでも、毎日のセルフケアを怠ると健康な状態を維持するのは困難です。
詰め物の下の虫歯を放置するリスク
詰め物の下で再発した虫歯を放置すると、自覚症状がないまま進行し、最終的に歯を失うリスクがあります。詰め物があるせいで外側からは穴が見えず、気づいたときには手遅れなケースも少なくありません。
ここでは詰め物の下の虫歯を放置するリスクをご紹介します。
-
- 激痛に襲われる
- 歯が根元から折れる
- 神経を抜く処置や抜歯が必要になる
- 口臭が発生する
- ひとつずつ見ていきましょう。
激痛に襲われる
詰め物の下の虫歯が進行して神経にまで達すると、夜も眠れないほどの激痛に襲われます。最初は冷たいものがしみる程度ですが、次第に温かいものでも痛みを感じるようになるでしょう。これは、歯の内部にある歯髄という神経が炎症を起こすと生じる現象です。
鎮痛剤を飲んでも痛みが収まらない場合がほとんどで、日常生活に支障をきたすため、早めに歯科医院を受診しましょう。
歯が根元から折れる
虫歯によって歯の内部がスカスカになると、噛む力に耐えられなくなり、歯が根元から折れる危険性があります。詰め物は残っていても、それを支える土台となる自分の歯が虫歯でもろくなっているのが歯が折れる原因です。
歯が折れると、見た目が損なわれるだけでなく、食事を楽しむことが困難になります。
神経を抜く処置や抜歯が必要になる
放置された虫歯が広範囲に及ぶと、歯の神経を抜く根管治療や、最悪の場合は歯そのものを抜く抜歯処置が必要です。
神経を抜いた歯は栄養が届かなくなるため、脆くなり寿命が縮まります。また、抜歯をおこなうとインプラントや入れ歯などの高額な治療が必要です。
早期発見であれば小さな詰め物で済んだはずの治療が、虫歯を放置した結果、大がかりな手術へと発展する場合があるため、早期治療がおすすめです。
口臭が発生する
詰め物の隙間で虫歯の原因菌が繁殖すると、独特の嫌な臭いが発生し、深刻な口臭の原因となります。これは、詰め物の内部で溶け出した歯の成分や、細菌が作り出すガスが原因で起こるものです。
歯磨きを丁寧におこなっても消えない口臭がある場合は、詰め物の下で虫歯が進行しているサインかもしれません。
詰め物の下で虫歯が発生したサイン

詰め物の下で虫歯が発生すると、見た目には変化がなくても痛みや違和感としてサインが現れます。ここでは詰め物の下で虫歯が発生した場合に、どんな症状が現れるかご紹介します。
-
- 冷たい水や熱い飲み物が歯の奥までしみる
- 硬いものを噛んだときにズキッとした痛みを感じる
- デンタルフロスがいつも同じ場所で引っかかるまたは切れる
- 詰め物の周辺から膿のような嫌な臭いや味がする
- 舌で触ると詰め物が浮いているような違和感がある
- ひとつずつ見ていきましょう。
冷たい水や熱い飲み物が歯の奥までしみる
冷たいものや熱いものがしみるのは、詰め物の下にできた虫歯が歯の神経に近い部分まで進んでいるサインです。通常、健康な歯はエナメル質に守られていますが、虫歯によってエナメル質の層が壊れると刺激が神経に直接伝わります。とくに、以前よりもしみる感覚が強くなったり長く続いたりする場合は注意してください。
詰め物が劣化して隙間ができ、そこから飲食物が入り込んでいる場合もあります。
硬いものを噛んだときにズキッとした痛みを感じる
硬いものを噛んだ際にズキッとした痛みが出るのは、虫歯によって歯の強度が落ちたり神経が過敏になったりしているサインです。詰め物の下で歯がスカスカになると、噛む力が加わったときに内部に圧力がかかり、鋭い痛みを引き起こします。
普段は何ともないのに特定の歯が痛むから、その歯で噛むのを避けるようになった場合は異常のサインです。放置すると、最悪の場合は歯が割れるリスクもあります。
デンタルフロスがいつも同じ場所で引っかかるまたは切れる
デンタルフロスが特定の場所で引っかかったり、ボロボロに切れたりするのは、詰め物と歯の間に段差や隙間ができているサインです。虫歯が進行すると歯が溶けて表面がザラザラになり、フロスの繊維がスムーズに通りません。
以前は問題なくフロスが通っていた場所でトラブルが起きた場合は、虫歯を疑いましょう。隙間に汚れが溜まりやすくなっているため、早急に歯科医院でおこなうチェックが必要です。
詰め物の周辺から膿のような嫌な臭いや味がする
詰め物の周りから嫌な臭いや味がするのは、隙間に溜まった細菌がガスを発生させたり、虫歯が腐敗したりしているのが原因です。自分ではしっかり磨いているつもりでも、詰め物の奥に入り込んだ汚れまでは落とせません。
デンタルフロスを通したときに異臭がする場合は、二次カリエスがかなり進んでいる場合があります。お口のなかの清潔を保つためにも、臭いの変化を無視しないようにしてください。
舌で触ると詰め物が浮いているような違和感がある
舌で触れた際に詰め物が浮いているように感じるのは、接着剤が溶け出したりなかの虫歯で形が変わったりして、適合が悪くなっているサインです。鏡で見ると外れていないように見えますが、実際にはわずかに動いていたり段差ができていたりする場合があります。
食べ物が詰まりやすくなったと感じるのも、詰め物の浮きや隙間が原因のケースが多いです。違和感を覚えた段階で受診し、治療負担を軽くしましょう。
虫歯の再発を防ぐための詰め物の種類と選び方

虫歯の再発を防ぐには、自分の口内環境や予算に合わせて適切な素材を選ぶことが最優先です。ここでは虫歯の再発を防ぐための詰め物の種類と選び方をご紹介します。
-
- セラミックやジルコニア:汚れが付きにくい
- ゴールド:歯との隙間ができにくい
- 銀歯やCAD/CAM冠:安価な費用で治療できる
- 自費のCAD/CAM:審美性と精度のバランスが取れる
- ひとつずつ見ていきましょう。
セラミックやジルコニア:汚れが付きにくい
セラミックやジルコニアは、表面が滑らかでプラークが付着しにくいのが特徴です。陶器や人工ダイヤモンドと同じ成分で作られており、プラスチックのように時間が経っても表面がザラつく心配がほとんどありません。
セラミックやジルコニアは金属アレルギーの心配もないため、お口全体の健康を長く保ちたい人に向いています。
ゴールド:歯との隙間ができにくい
ゴールドは貴金属を用いた素材で、歯との適合性がもっとも優れている素材です。ゴールドには適度な柔らかさがあるため、噛み合わせの力によって徐々に自分の歯の形に馴染み、隙間を埋めてくれます。この優れた密着性によって細菌の侵入を最小限に抑えられるため、再発防止の観点でゴールドはおすすめな素材です。
ゴールドは見た目は目立ちますが、奥歯の見えにくい場所でとにかく歯を長持ちさせたい場合におすすめの詰め物です。
銀歯やCAD/CAM冠:安価な費用で治療できる
銀歯やCAD/CAM冠は、健康保険が適用されるため、家計に優しい費用で速やかに治療をおこなえます。保険診療でおこなえる銀歯やCAD/CAM冠は、数千円程度の自己負担で済むため、急な出費を抑えたいときに助かります。
CAD/CAM冠はプラスチックを混ぜた白い素材なため、保険診療の範囲内でも目立たない見た目に仕上げられます。ただし、自由診療の素材に比べると経年劣化が進みやすく、数年ごとにやり直しが必要になる場合がある点には注意してください。
関連記事:CAD/CAM冠と銀歯はどっちがいい?メリット・デメリットと違いを解説
自費のCAD/CAM:審美性と精度のバランスが取れる
自費のCAD/CAMを用いると、見た目の美しさと精密な噛み合わせを両立させることが可能です。
コンピューターでデジタル設計をおこなうため、歯との隙間がほとんどなくなるのが自費のCAD/CAMの特徴です。隙間が少ないと細菌が入り込みにくくなり、詰め物の下で虫歯が再発するリスクを低く抑えられます。保険の素材よりも丈夫なセラミックを削り出して製作するため、力がかかる奥歯でも安心して使えます。
費用はかかりますが、大切な歯を長く守りたい人にとって自費のCAD/CAMはおすすめの選択肢です。
【素材別】詰め物の費用相場
以下は詰め物の費用相場をまとめた表です。
| 詰め物の種類 | 費用相場(歯1本あたり) |
|---|---|
| 銀歯 | 約1,000〜3,500円 |
| コンポジットレジン | 約1,500〜2,000円 |
| CAD/CAMインレー | 約5,000~7,000円 |
| セラミック | 約40,000〜80,000円 |
| ジルコニア | 約40,000~120,000円 |
| ゴールド | 約50,000~100,000円 |
取り扱っている詰め物の種類や費用は、各歯科医院によって異なります。詳細は各歯科医院へお問い合わせください。
詰め物の下が虫歯になった場合の治療法
詰め物の下が虫歯になった場合は、一度古い詰め物をすべて取り除いてから内部の状態を確認するのが一般的な治療の流れです。ここでは詰め物の下が虫歯になった場合の治療法をご紹介します。
-
- 詰め物を外し虫歯部分を削って型取り・再製作をおこなう
- 菌が神経まで達した場合は根管治療をおこなう
- 歯質がほとんど残っていない場合は抜歯の可能性もある
- ひとつずつ見ていきましょう。
詰め物を外し虫歯部分を削って型取り・再製作をおこなう
治療の最初のステップは、現在ついている詰め物を外し、その下で広がっている虫歯を丁寧に削り取ることです。感染した部分を完全に取り除かないと、新しい詰め物をしても再び虫歯が再発する原因になります。
削ったあとの形をもとに、歯型を取って新しい詰め物を精密に作り直します。このとき、適合性が高い素材を選び、将来的な二次カリエスの再発を予防しましょう。
菌が神経まで達した場合は根管治療をおこなう
虫歯が深く進行して細菌が神経まで達している場合は、歯の根のなかを掃除する根管治療が必要です。神経が壊死すると激しい痛みが出たり、根の先に膿がたまったりするため、細い専用の器具で汚れをかき出さなければなりません。
深い虫歯は自覚症状がないまま進む場合も多く、治療には数回の通院期間が必要です。
歯質がほとんど残っていない場合は抜歯の可能性もある
虫歯による浸食が激しく、被せ物を支えるための歯質がほとんど残っていない場合は、残念ながら抜歯を検討しなければなりません。歯の根っこまでボロボロになると、無理に被せ物をしてもすぐに割れたり外れたりするリスクが高くなります。
抜歯を避けるためには、詰め物の違和感に気づいた段階ですぐに受診することが大切です。抜歯になった場合は、インプラントやブリッジ、入れ歯などで噛む機能を回復させる方法を検討しましょう。
二次カリエスを予防する方法
二次カリエスを予防するには、詰め物と自分の歯の間に汚れを溜めない環境を作ることが大切です。ここでは治療後に二次カリエスを予防する方法をご紹介します。
-
- デンタルフロスを通す
- 定期検診を受ける
- セラミックを選ぶ
- 高濃度フッ素を活用する
- ひとつずつ見ていきましょう。
デンタルフロスを通す
デンタルフロスを通すのは、詰め物の隙間に潜む細菌を取り除くのに効果的な手段です。歯ブラシの毛先だけでは、歯と歯が重なる部分や詰め物の境界線についた汚れを完全に落とせません。
フロスを使わないと、汚れが溜まり続けてそこから新たな虫歯が発生します。とくに寝る前のケアでおこなうと、就寝中の細菌繁殖を強力に防げるため毎日欠かさず続けてください。
定期検診を受ける
定期検診を受けるのは、自分では気づけない初期の二次カリエスを早期発見するために必要です。詰め物の劣化やわずかな浮きは、プロが専用の器具を使ってチェックしないと見つけられません。
歯科医院でのクリーニングを受けると、普段の歯磨きで落とせないバイオフィルムも綺麗に除去できます。3カ月から半年に一度のペースで通うのが理想的です。
セラミックを選ぶ
詰め物でセラミックを選ぶのは、素材の特性を活かして虫歯の再発率を下げる有効な選択肢です。セラミックは表面が陶器のように滑らかであるため、銀歯や金属素材に比べて汚れが付着しにくいです。
また、歯と強力に接着する特殊な薬剤を使用するため、隙間ができにくいのもセラミックのメリットです。費用はかかりますが、二次カリエスで何度も治療を繰り返したくない人にはおすすめの素材といえます。
高濃度フッ素を活用する
高濃度フッ素を活用し、詰め物の周囲にある自分の歯を強化して虫歯の原因菌の酸に負けない状態にするのもおすすめです。フッ素には、歯の表面を再石灰化させたり細菌の活動を抑えたりする働きがあります。
市販されている1450ppmの高濃度フッ素配合の歯磨き粉を日常的に使うのが効果的です。お口のなかにフッ素を長く留めるために、歯磨き後のすすぎは少量の水で1回だけに留める工夫をしてください。
まとめ
虫歯治療で使用する詰め物は、自分の希望や歯の状態に合わせて慎重に選ぶことが大切です。一度治療した場所が再び虫歯になるのを防ぐためには、素材ごとの特徴や寿命を正しく理解する必要があります。
保険診療の素材は費用を抑えられますが、自由診療のセラミックやジルコニアなどは見た目と耐久性に優れているのが魅力です。虫歯の再発リスクを下げたい場合は、歯科医師とよく相談して納得できる選択をおこなってください。
「何度も同じ場所が虫歯になってしまう」「今の詰め物が自分に合っているのか不安」という方は、ぜひ一度当院へご相談ください。原因を根本から突き止め、大切な歯を長く持たせるための治療プランを一緒に考えましょう。



























